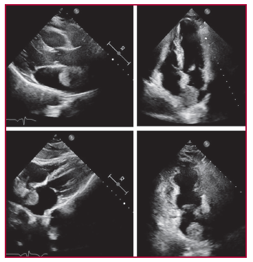
Espondiloartropatía inflamatoria como única manifestación del mixoma auricular izquierdo
pp. 160-162
Descargas
Publicado
16-05-2023
Número
Sección
CARTAS CIENTÍFICAS
Licencia
Derechos de autor 2023 Revista Argentina de Cardiología

Esta obra está bajo una licencia internacional Creative Commons Atribución-NoComercial-CompartirIgual 4.0.








