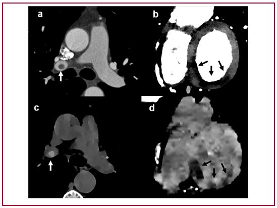
Detección de tromboembolismo pulmonar e infarto de miocardio por medio de densidad de electrones sin contraste
pp. 81-83
Resumen
.

Descargas
Publicado
04-04-2024
Número
Sección
CARTAS CIENTÍFICAS
Licencia
Derechos de autor 2024 Revista Argentina de Cardiología

Esta obra está bajo una licencia internacional Creative Commons Atribución-NoComercial-CompartirIgual 4.0.