Angiosarcomas cardíacos Implicación diagnóstica, pronóstica y terapéutica
pp 299-302
DOI:
https://doi.org/10.7775/rac.v75i4.2587Palabras clave:
Neoplasias cardíacas, HemangiosarcomaResumen
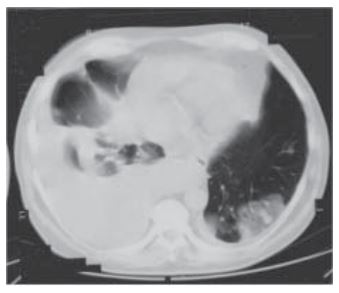
Los tumores cardíacos primarios constituyen una entidad rara. Sólo el 10% a 25% de ellos son malignos y el angiosarcoma es el más frecuente. Ocasionan sintomatología cardíaca y sistémica variada, por sí mismos o por compromiso de otros órganos, lo que puede simular otras patologías y derivar en un retraso del diagnóstico de certeza. Se describen dos casos de angiosarcoma cardíaco con presentaciones atípicas, por lo que inicialmente no se consideró esta patología como un diagnóstico probable. Se requiere un alto grado de sospecha clínica, junto con métodos por imágenes de alta resolución como la resonancia magnética, para la aproximación diagnóstica correcta y el tratamiento adecuado.
Descargas
Publicado
Número
Sección
Licencia
Derechos de autor 2026 Revista Argentina de Cardiología

Esta obra está bajo una licencia internacional Creative Commons Atribución-NoComercial-CompartirIgual 4.0.








