Implante de un cardiodesfibrilador bicameral vía vena cava superior izquierda persistente
pp. 224-226
DOI:
https://doi.org/10.7775/rac.v77i3.2718Resumen
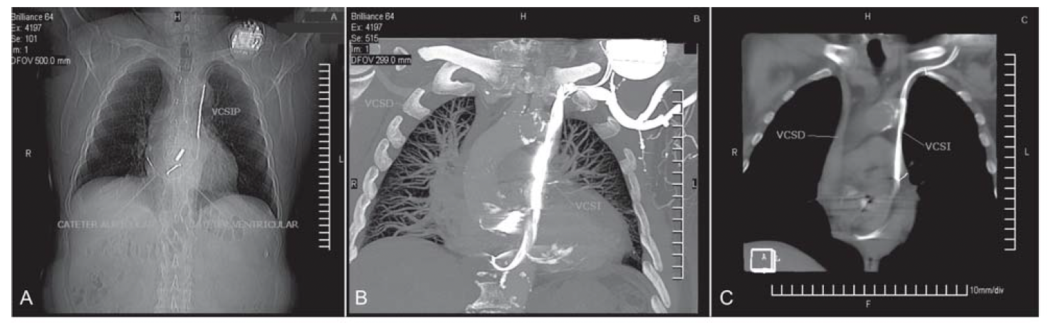
La vena cava superior izquierda persistente (VCSIP) es la anomalía congénita venosa del tórax más frecuente. Se encuentra en el 0,3% de la población general y en el 5-10% de los pacientes con cardiopatías congénitas. Generalmente evoluciona en forma asintomática y no genera trastornos hemodinámicos, pero su reconocimiento es importante, ya que puede dificultar la introducción de catéteres para mediciones hemodinámicas, los implantes de marcapasos cardíacos (MCP) y de cardiodesfibriladores automáticos implantables (CDAI), especialmente cuando se utiliza la vía cefálica o la subclavia izquierda. En el caso clínico que se presenta se efectuó el implante de un CDAI bicameral vía VCSIP, descubierta durante el procedimiento. Asimismo, se muestran las características de esta variedad anatómica mediante tomografía cardíaca computarizada de 64 cortes (TCC64).
Descargas
Publicado
Número
Sección
Licencia
Derechos de autor 2026 Revista Argentina de Cardiología

Esta obra está bajo una licencia internacional Creative Commons Atribución-NoComercial-CompartirIgual 4.0.








