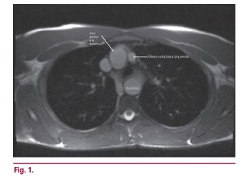
Arco aórtico derecho con subclavia izquierda aberrante que simula un doble arco aórtico
pp 271
Descargas
Publicado
01-12-2025
Número
Sección
IMÁGENES EN CARDIOLOGÍA
Licencia
Derechos de autor 2025 Revista Argentina de Cardiología

Esta obra está bajo una licencia internacional Creative Commons Atribución-NoComercial-CompartirIgual 4.0.








