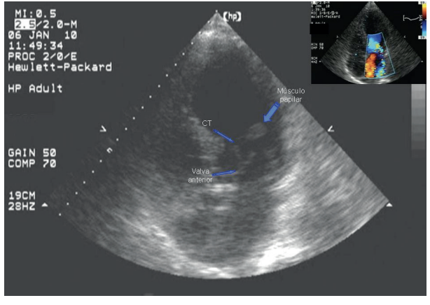
Origen anómalo de la coronaria izquierda en la arteria pulmonar

pp 436-437

Autores/as

  • Jorge O. Barretta Médico Principal del Servicio de Cirugía Cardiovascular del Hospital de Pediatría “Prof. Dr. Juan P. Garrahan”

DOI:

https://doi.org/10.7775/rac.v79i5.1921

Publicado

28-10-2025

Número

Sección

IMÁGENES EN CARDIOLOGÍA