SCIENTIFIC LETTERS
Hybrid Strategy. A Novel Method for the Management of Complex Congenital Heart Diseases
Bicuspid aortic valve is a congenital cardiac defect,
involving a wide range of presentations, from aortic valve stenosis with severe
cardiac failure in the newborn, to aortic dissection in the adult, or remaining
unnoticed throughout life without requiring any treatment.
We present the case of a preterm patient with prenatal
diagnosis of bicuspid aortic valve with severe stenosis. On admission, physical
examination shows tachypnea and retraction, palecyanotic
coloring, heart rate of 187 beats per minute, single S1 and S2, 2/6 systolic
aortic murmur, symmetric brachial and femoral pulses, prolonged capillary
filling >3 seconds, blood pressure 65/49 mm Hg and SpO2 78%.
Chest X-ray presents cardiomegaly and pulmonary edema. Mechanical respiratory
assistance is initiated and prostaglandins are administered. Color Doppler
echocardiography shows critical aortic stenosis with severe left ventricular
dysfunction (Figure 1A).

Fig.
1. Doppler echocardiography showing
critical aortic stenosis (A). Angiography through carotid access post
aortic valvuloplasty (B). Angiographic
reconstruction of surgical cerclage in both pulmonary
branches (C).
At 18 hours of life, combined cardiac catheterization
and aortic valvuloplasty with 6.0 × 20 mm Tylshak Mini hybrid balloon is performed through right
carotid access (dissection) (Figure 1B). On the fourth day the echocardiogram evidences 16
mm Hg peak transaortic gradient with mild aortic
regurgitation, and wide interatrial communication and
patent ductus.
Hemodynamic instability with multiple organ failure
(kidney failure, intraventricular hemorrhage and
supraventricular tachycardia) persists from the fifth to the thirteenth day of
life. Without clinical improvement, bilateral cerclage
with polytetrafluoroethylene (PTFE) band is performed
(Figure
1C) and the hybrid
procedure is completed 48 hours later (reopening of the sternotomy
and 1.7 mm Type E Krichenko stent implantation in the
ductus).
At 5 days of treatment, the echocardiogram reveals
decreased cardiac diameters, biventricular hypertrophy with improved function
in both ventricles, and increased gradient through the cerclages
and at the left ventricular outflow tract level due to improved function.
Three months after the hybrid procedure, percutaneous cerclage removal (Figure 2A and 2B) and ductal stent occlusion (Figure 2C) are carried out.

Fig.
2. Angiography. Dilation of both pulmonary branch cerclages
(A and B). Percutaneous ductal stent occlusion (C).
Neonatal critical aortic stenosis, in which the
immature myocardium faces an abrupt increase in afterload, generates greater
wall stress with left ventricular dilation, instead of the compensatory
hypertrophy encountered in older children. The increased end-diastolic volume
and pressure alter coronary flow producing diastolic dysfunction. (1,2) There are problems in the immature neonatal
myocardium, a) structural: myocyte precursors
replicate and increase in number (hyperplasia), but not in size (hypertrophy),
myofibrils are disorganized, there is scant presence of the T tubule system and
mitochondrial sarcoplasmic reticulum, high DNA concentration and predominance
of non-contractile elements;
b) biological, such as lower sarcoplasmic reticulum
calcium uptake and lower density of alpha and beta receptors; and c) metabolic,
as the preferred use of glucose as energy source. (2)
The hybrid approach in refractory heart failures of
different etiology is a therapeutic alternative, consisting of bilateral cerclage in pulmonary branches, generation of a
non-restrictive interatrial communication and ductal
stent implantation. (3,4) Pulmonary cerclage
increases contractility on the right ventricle (RV) (Anrep
effect), producing hypertrophy and the capacity of myocyte
regeneration in an immature heart, and improved right ventricular diastolic
filling. (3,4) Biological and genetic changes at the level of the
fibers shared by both ventricles (cohypertrophy) may
restore electromechanical synchrony between the two ventricles and ventriculoarterial coupling. (5)
The hemodynamic evolution post valvuloplasty
can sometimes be unfavorable due to abnormal ventricular remodeling, with
unexpected clinical consequences. The hybrid approach is a very useful novel
technique for different pediatric heart failure scenarios which cannot be
managed from a clinical point of view, or as bridge to transplantation. This
approach activates various physiological mechanisms, producing a relevant
balance between pressures, flows and resistances, corroborated by computational
studies of flow dynamics. (6)
Conflicts of interest
None
declared.
(See
authors’ conflict of interests forms on the web).
Ethical considerations
Not applicable.
Edgardo Banille, Alejandro
ContrerasMTSAC, Nora BuenoMTSAC,
Juan Diaz, Ignacio JuanedaMTSAC,
Alejandro PeironeMTSAC
Pediatric Cardiology and Cardiovascular Surgery
Division. Hospital Privado
Universitario de Córdoba. Instituto Universitario de Ciencias Biomédicas de
Córdoba. TE: 543514688220,
E-mail: Ebanille@hotmail.com
Rev Argent Cardiol 2023;91:292-293. http://dx.doi.org/10.7775/rac.v91.i4.20656
1. Friedman
KG, Freud L, Escobar-Diaz M, Banka P, Emani S, Tworetzky W. Left Ventricular
Remodeling and Function in Children with Biventricular Circulation After Fetal
Aortic Valvuloplasty. Pediatr Cardiol 2015;36:1502-09. https://doi.org/10.1007/s00246-015-1193-6
2. García Guevara C, Cazzaniga M,
Perez Pedregoza J. El diagnóstico prenatal de las cardiopatías congénitas.
Capítulo 1. En: Banille E. Cardiointensivismo Pediátrico II. Una Mirada
Ampliada. Tomo I. Córdoba, Editorial RecFot,
2015.
3. Schranz
D, Aknituerk H, Voelkel NF. “End stage” Heart failure therapy: potential lesson
from congenital heart disease: from pulmonary artery banding and interatrial
communication to parallel circulation. Heart 2017;103:262-67.
https://doi.org/10.1136/heartjnl-2015-309110
4. Schranz D, Rupp S, Muller M, et al. Pulmonary Artery
Banding in Infants and Young Children With Left Ventricular Dilated
Cardiomyopathy: A Novel Therapeutic Strategy Before Heart Transplantation. J Heart Lung Trasplant. 2013;475-81. https://doi.org/10.1016/j.healun.2013.01.988
5. Antonini-Canterin F, Poli S, Vriz O, et al. The Ventricular-Arterial Coupling: From
Basic Pathophysiology to Clinical Application in the Echocardiography
Laboratory. J
Cardiovasc Echogr 2013;23:91-95. https://doi.org/10.4103/2211-4122.127408
6. De Campli WM, Argueta-Morales
IR, Divo E, Kassab AJ. Computational fluid dynamics in congenital heart disease. Cardiol Young 2012;
22:800-08. https://doi.org/10.1017/S1047951112002028
From Cardiopulmonary Arrest to Extracorporeal Membrane
Oxygenation in Pulmonary Thromboembolism: An Inter-Hospital Work
The pulmonary thromboembolism (PTE) is a prevalent
entity that involves patients with a wide range of ages and comorbidities. It
can affect young patients without relevant comorbidities, and cause a great
impact in terms of morbidity and mortality. High-risk PTE implies the highest
mortality, especially in those who present with cardiopulmonary arrest (CPA).
In addition, a significant percentage of patients show severe symptoms or
hemodynamic decompensation on admission or during
their progress. The indicated strategy in these patients is the immediate
reperfusion. Nowadays, the most widely supported strategy is the systemic
thrombolysis, leaving surgical treatment –either surgical embolectomy
or venoarterial extracorporeal membrane oxygenation
(VA-ECMO)– as a second option when medical treatment fails or is
contraindicated. However, data from experienced centers suggest that surgical
techniques are safe and effective. The following is a case report of a patient
with massive PTE and CPA, in which two centers worked together in pursuit of
ventricular support as a rescue therapy.
We present the case of a 39-year-old male patient,
with no risk factors or cardiovascular history, who reported an Achilles tendon
surgery 45 days prior to his consultation. He came to the Emergency Department
after having experienced an episode of sudden dyspnea associated with syncope
without prodromes and traumatic brain injury (TBI) at
home. During his stay in the Emergency
Department, he presented a new syncopal episode. A
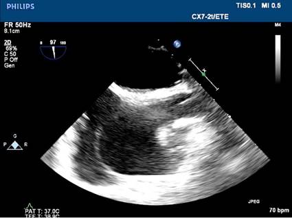
Doppler transthoracic echocardiography (TTE) was performed (Figure 1) which showed dilatation of the right chambers; this,
together with the recent history of trauma surgery, led to the suspicion of
PTE. He immediately experienced a CPA,
so advanced cardiopulmonary resuscitation maneuvers were performed and, based
on his history of TBI, it was decided to start a
percutaneous treatment by thromboaspiration and local
thrombolysis. The patient progressed to hemodynamic instability so, after
ruling out intracranial hemorrhage by computed tomography, systemic thrombolytics were administered.
Fig.
1. Transthoracic echocardiogram on
admission. A. Endsystolic apical four-chamber
view. Marked dilatation of right chambers. B.
Parasternal short axis. Right ventricular enlargement with
flattening of the interventricular septum.
However, the patient remained in refractory shock
despite the administration of vasoactive drugs at maximum doses. Contact was
established with a High Complexity Center and the mobile ECMO team was
activated. Once the coagulopathy was stabilized, the patient received venoarterial ECMO at the first center and was subsequently
transferred to the High Complexity Center. On admission, the patient was hemodynamically unstable, received ventricular and
respiratory support and required maximum doses of noradrenaline, vasopressin
and milrinone; laboratory tests showed acute kidney
and hepatic injury, metabolic acidosis with hyperlactacidemia
and marked coagulopathy. The values of high-sensitivity troponin T and NT-proBNP were 6700 ng/L and 480 pg/mL, respectively. The
electrocardiogram (Figure 2) showed sinus tachycardia and the chest X-ray
showed cardiomegaly and overt signs of bilateral flow redistribution. During
the first 24 hours the patient remained in a mixed type of shock (both
cardiogenic and vasoplegic) requiring vasoactive
drugs, with multiorgan failure and marked
coagulopathy; then, post cardiac arrest care, hemodynamic support, and internal
correction with ventricular support were implemented. After the critical
fibrinogen values were stabilized, an anticoagulant treatment with sodium
heparin administered by continuous IV infusion was initiated and adjusted to
anti-factor Xa values. His progress was favorable,
the vasoactive drugs were reduced, and right ventricular function improved
according to the TTE, so at 72 hours the ECMO weaning test was performed, and
it was decided to withdraw circulatory support with no complications. The patient
remained under orotracheal intubation, with intact
neurological response and good urinary volume with response to intravenous
diuretics (despite elevated serum creatinine levels
with a peak of 10 mg/dL, but without requiring
hemodialysis); therefore, 7 days after admission, the patient was successfully extubated. Subsequent exhaustive kinetic motor and
respiratory rehabilitation was performed; antiphospholipid
syndrome and other thrombophilias were ruled out;
negative fluid balance with forced diuresis at the expense of furosemide was
performed with good response, so the patient was transferred to his center of
origin to continue with the rehabilitation in the general ward, with an ECG
evidencing increased voltages (Figure 2) and a TTE showing completely normalized
biventricular function.
Fig.
2. A. Electrocardiogram on admission showing sinus
tachycardia. B. Electrocardiogram at discharge showing sinus rhythm, normal
heart rate with increased voltages in general and a more marked difference in
right precordial leads.
The PTE is a life-threatening condition, so it is a
cardiovascular emergency, with an annual incidence of 70 cases per 100 000
inhabitants. (1) It is the third leading cause of cardiovascular
death, following myocardial infarction and stroke. (2,3) Mortality from massive pulmonary embolism is around
30%, while in those who experience cardiopulmonary arrest it can be near 95%. (4) Current clinical practice guidelines recommend
immediate reperfusion therapy in patients with high-risk PTE: in patients with
hemodynamic decompensation, systemic thrombolysis is
recommended, leaving invasive methods (surgical or percutaneous embolectomy or ventricular support) in a second place
whenever the former is contraindicated or fails. (5) However, in High Complexity Centers with wide
experience in surgical methods (embolectomy and
VA-ECMO), by implementing such methods mortality has been drastically reduced
in patients with massive PTE, including those who have experienced
cardiorespiratory arrest, to whom ECMO is indicated with a mortality rate near
25%. (2,3) Therefore, in a setting like ours, it is essential to
create multidisciplinary and multicentre teams to
allow, firstly, early detection of high-risk PTE patients and, secondly, the
implementation of action strategies according to each patient, such as referral
to high complexity and experienced centers, and, in case of being a candidate,
to perform ventricular support or surgical embolectomy
when indicated. Thus, by establishing interhospital
networks which quickly identify and respond to these needs, the morbidity and
mortality associated with this high-risk subgroup could be reduced.
Furthermore, a paradigm shift in the management of these patients could be
considered, since surgical techniques could be implemented as the initial
therapy in the centers where they have been developed, instead of using the
rescue therapy, as they do at present, thus achieving a favorable impact on
these patients’ progress. These could become worldwide guidelines in the
future, which in our setting are not yet reproducible. However, with the
potential existence of reference centers that centralize referrals of patients
requiring surgical salvage therapy from surrounding centers, in the future it
could be implemented as the initial therapy according to the experience.
Conflicts of interest
None
declared.
(See
authors’ conflict of interests forms on the web).
Ethical considerations
Not applicable.
Julieta Micaela Altimare1,
Jose Chas2, Rocío
Blanco1, Mauro
Gingins3, Horacio Avaca3,
Anibal Arias1
1 Cardiology Service, Hospital Italiano
de Buenos Aires
2
Cardiovascular Surgery Service,
Hospital Italiano de Buenos Aires
3 Cardiology Service, Hospital
Británico
Rev Argent Cardiol 2023;91:293-295. http://dx.doi.org/10.7775/rac.91.i4.20657
1. Ubaldini J, Bilbao J, Spennato
Mario C, Bonorino J, Flores LA, Kenar M, et al. Consenso de Enfermedad
Tromboembólica Aguda. JE Ubaldini, et al. Rev Argent Cardiol 2016;84:74-91. http://dx.doi.org/10.7775/rac.es.v84.i1.7739
2. Goldberg JB, Giri J, Kobayashi
T, Ruel M, Mittnacht AJC, Rivera- Lebron B, et al. Surgical Management and Mechanical Circulatory Support in High-Risk
Pulmonary Embolisms: Historical Context, Current Status, and Future
Directions: A Scientific Statement From the American Heart Association. Circulation
2023;147:e628-47. https://doi.org/10.1161/CIR.0000000000001117
3. Goldberg
JB, Spevack DM, Ahsan S, Rochlani Y, Dutta T, Ohira S. Survival and Right
Ventricular Function After Surgical Management of Acute Pulmonary Embolism. J
Am Coll Cardiol 2020;76:903–11. https://doi.org/10.1016/j.jacc.2020.06.065
4. Laher AE, Richards G. Cardiac arrest due to pulmonary embolism.
Indian Heart J 2018;70:731-5. https://doi.org/10.1016/j.ihj.2018.01.014
5. Konstantinides SV, Meyer G, Becattini
C, Bueno H, Geersing GJ, Harjola VP, et al. 2019 ESC Guidelines for the diagnosis
and management of acute pulmonary embolism developed in collaboration with the
European Respiratory Society (ERS). Eur Heart J 2020;41:543- 603. https://doi.org/10.1093/eurheartj/ehz405
Dysphagia – an Uncommon Presentation of a Rare
Pacemaker Implant Complication
We present a case of a 63-year-old patient admitted to
the emergency room (ER) for complaints of dysphagia. He reported a left-sided
neck distension which later affected his capacity to eat appropriately. These
symptoms appeared after a pacemaker implantation for second-degree atrioventricular block, two weeks prior. There were no
symptoms of heart failure, syncope, pre-syncope, palpitations, dizziness,
constitutional symptoms, or fever. The physical examination showed a cervical
asymmetry, with a distended left side, associated with local warmth, and
discrete asymmetry between the right and left arms. The rest of the physical
examination was unremarkable. The patient has a history of schizophrenia,
depression, and dyslipidemia. Following an invasive procedure, the authors
suspected an infection related to the procedure as the point of origin.
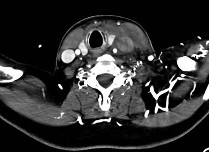
The patient underwent a computed tomography (CT) scan
that reported thrombosis of the left internal jugular vein, with occlusion of
the left brachiocephalic and subclavian veins (shown
in Fig.
1). There was no
evidence of collections/abscesses. A brief transthoracic echocardiography was
performed in the ER, which rose the suspicion of
thrombus/endocarditis. The subsequent transesophageal
echocardiogram documented a thrombus adherent to the pacemaker leads. There was
an equivocal image of vegetation. Blood cultures, blood panel with C-reactive
protein (CRP) and procalcitonin (PCT) were collected.
The patient was also scheduled for a repeat CT for evaluation of pulmonary
embolism.
Fig.
1. CT scan – axial plane. Carinal shift
due to jugular vein thrombosis and ipsilateral edema.
Anticoagulation was immediately started with low
molecular weight heparin (LMWH). Blood cultures and PCT were normal. There was
no evidence of pulmonary embolism on the new CT scan.
After treatment with LMWH for a week, there was a
complete resolution of the thrombus (shown in Fig. 2). The patient was also seen in the immunohemotherapy clinic, and thrombophilia was discarded.
After a 12-month follow-up, the patient remains asymptomatic and generally
well.
Fig. 2. Transesophageal echocardiography bicaval plane.
Post anticoagulation image of the pacemaker leads, without evidence of thrombus
Reported permanent pacemaker complications are mostly
related to the risk of infection and thrombosis and embolic events. Other rarer
complications also described are beyond the scope of this scientific letter.
(1) Serious thrombotic events related to pacemaker
implantation have been described, with an incidence from 0.6% to 3.5%. These
serious events include heart failure presentation and pulmonary
thromboembolism. (2) Nevertheless, clinically asymptomatic thrombus
appears to be much more frequent, with an incidence of up to 35-45% in the same
cohorts. (3) The symptomatic cases can be present in the acute, subacute or delayed setting, varying from days to years
after lead implantation. (2,4) In the acute setting, there seems to be a hypercoagulable state and endothelial trauma that favors
thrombosis. (5) There is no consensus on a therapeutic strategy and
follow-up of the patient with symptomatic lead-induced thrombosis. There are
some cases when oral versus intravenous medical therapy is discussed, as well
as mechanical thrombectomy and thrombolysis, mostly
in acute cases. (2)
We report on a case of an atypical presentation of
thrombosis with the most prominent symptom being dysphagia. Early
echocardiographic evaluation and therapy can be essential to prevent, avoid and
improve clinical outcomes in these patients with no need for interventive action. We aim to bring to the reader’s
attention that acute pacemaker thrombosis is an entity that requires medical
community awareness to an early diagnosis and prevent worse outcomes. Atypical
presentations should not be disregarded and time from an intervention should
raise our suspicion of its connection. Not everything attached to a lead or
related to a recent intervention is a vegetation.
Conflicts of interest
None
declared.
(See
authors’ conflicts of interest forms on the website).
Ethical considerations
Written
informed consent was obtained from the patient for publication of this case
report and any accompanying images.
Francisco Dias
Claúdio1, 2, Rita
Rocha1, 2, David
Neves1,2,
Pedro Semedo1,2,
Manuel Trinca1 Lino Patrício1, 2
1
Cardiology Department, Hospital Espírito Santo – Évora, Évora, Portugal
2 C-TRAIL –
Alentejo Academic Clinic Center, Évora, Portugal
Address for reprints:
Francisco Dias Cláudio Cardiology Department Hospital Espírito Santo – Évora
Largo do Sr. da Pobreza 7000-811 Évora, Portugal E-mail: Francisco.dias.claudio@gmail.com
Rev Argent Cardiol 2023;91:295-296. http://dx.doi.org/10.7775/rac.v91.i4.20655
REFERENCES
1. Phibbs B, Marriott HJL. Complications of
permanent transvenous pacing. N Engl J Med 1985;312:1428–32. https://doi.org/10.1056/NEJM198505303122205
2. Zimetbaum P, Carroll BJ, Locke AH,
Secemsky E, Schermerhorn M.
Lead-Related Venous Obstruction in Patients With Implanted Cardiac Devices:
JACC Review Topic of the Week. J Am Coll Cardiol 2022;79:299–308. https://doi.org/10.1016/j.jacc.2021.11.017
3. Barakat K, Robinson NM, Spurrell
RAJ. Transvenous pacing lead-induced thrombosis: a
series of cases with a review of the literature. Cardiology 2000;93:142–8. https://doi.org/10.1159/000007018
4. Van Rooden CJ, Molhoek SG, Rosendaal FR, Schalij MJ, Meinders AE, Huisman MV.
Incidence and Risk Factors of Early Venous Thrombosis Associated with Permanent
Pacemaker Leads. J Cardiovasc Electrophysiol
2004;15:1258–62. https://doi.org/10.1046/j.1540-8167.2004.04081.x
5. Spittell PC, Hayes DL. Venous Complications After Insertion of a Transvenous
Pacemaker. Mayo
Clin Proc 1992;67:258–65. https://doi.org/10.1016/S0025-6196(12)60103-7
https://creativecommons.org/licenses/by-nc-sa/4.0/
©Revista
Argentina de Cardiología